
국가검진 유방 촬영을 하는 김에 유방 초음파 및 갑상선 초음파를 예약하고 룰루랄라 병원에 갔습니다. 당연히 깨끗할 것이라고 생각하고 갔다가 유방 조직 검사까지 하고 온 경험을 적어보겠습니다.
- 검사 : 유방 촬영(국가 검진) + 유방 초음파 + 갑상선 초음파 + 유방 조직 검사
- 소요시간 : 약 1시간
- 비용 : 약 26만 원
유방검사 준비
- 원피스 입지 않기
- 겨털 정리하기
- 병원에서 검사복 상의 갈아입기
유방 촬영

위 사진과 비슷한 기계가 있습니다. 상의를 모두 벗고 <여기>라고 되어 있는 부분에 가슴을 최대한 밀착시켜 넣어야 합니다.
정면으로 서서 오른쪽 가슴, 왼쪽 가슴 그리고 약간 비스듬하게 오른 쪽은 쪽가슴, 왼쪽 가슴 이렇게 총 4번 촬영합니다.

가슴이 크면 상대적으로 쉽게 넣어서 밀착시킬 수 있는데 가슴이 작으면 최대한 모아서 넣어서 밀착시켜야 해서 아플 수 있습니다. 그리고 아픈 정도는 사람마다 다 다른 것 같았어요. 유방 촬영하는 데에는 5분 정도밖에 걸리지 않은 것 같아요. 금방 끝납니다. 주위에 물어본 결과 상대적으로 가슴이 큰 사람들은 별로 아프지 않았다고 하고 가슴이 작은 사람들은 아프다고 했습니다. (개인적인 차이 있을 수 있음.)
갑상선 및 유방 초음파
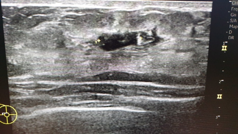
잠시 대기 후 초음파를 하기 위해 진료실에 들어갔습니다. 유방 촬영 결과를 바로 볼 수 있었어요. 오른쪽은 괜찮으나 왼쪽에 혹이 있어 초음파로 꼼꼼하게 보자고 하셨어요.
먼저 젤을 목에 바르고 갑상선 초음파부터 했습니다. 갑상선은 다행히 깨끗해서 2년마다 정기검진을 하라고 했어요.
그다음은 유방 초음파를 하는데 팔을 위로 올린 상태로 검사를 해요. 엑스레이에서 왼쪽에 혹이 보였기 때문에 꼼꼼하게 봐 주셨어요.

힐끗힐끗 화면을 보니 작고 둥근 것들이 보였고, 여러 번 길이를 재는 것이 보였어요. 엑스레이 상으로는 깨끗했던 오른쪽 가슴에도 혹이 보였어요. (점점 불안해지기 사작했습니다...)


왼쪽 2.3cm / 오른쪽 1.4cm + 기타 작은 혹 몇 개
크기보다 모양이 더 중요하다고 하더군요. 일단 동글동글하면 괜찮은 것이고 뾰족뽀족하게 생기면 악성일 가능성이 크다고 합니다.
모양이 나쁘지는 않지만 크기가 1cm 이상이면 작은 것은 아니므로 조직 검사를 하자고 하더군요. 조직 검사를 해서 이 혹이 어떤 혹인지 정확하게 확인 후 치료 방법 등을 생각해 보자고 하셨어요.
너무 놀라서 조직 검사하자는 말에 '네'라고는 대답밖에는 할 수 없었어요.
유방 조직 검사
조직 검사 준비하는 동안 잠시 대기실에 있었습니다. 잠시 후 유방 총 조직 검사를 하러 다시 진료실에 들어갔어요.
국소 마취 주사가 순간 따끔하고 아프지 그 뒤로 아픈 것은 전혀 없었어요. 총 조직 검사는 초음파로 혹을 보면서 갈고리 형태의 바늘로 조직을 떼어 내어 검사하는 방법이라고 해요. 조직을 떼어 낼 때 총 쏘듯 '탕'하고 소리가 나는데 미리 놀라지 말라고 알려주셨어요.

오른쪽은 3번, 왼쪽은 4번 '탕'하면서 조직을 떼어 냈습니다. 그리고 밴드로 처치를 해 주셨어요.
진통제도 주셨는데 사실 진통제를 먹어야 할 만큼 아프지도 않아서 1회분만 먹었어요.
그리고 방수 밴드가 제 손바닥 만했는데 여름이다 보니 너무 가렵고 불편했네요. 샤워 후 방수 밴드를 교체하라고 방수 밴드를 4개 받았어요.
즉, 2박 3일은 방수 밴드하고 샤워를 해야 했습니다. 간단한 샤워는 당일부터 가능하나 목욕이나 사우나 등은 일주일 후에 하라고 하셨어요. (병원에 따라 당일 샤워 금지하는 곳도 있는 듯해요.)
유방 조직 검사는 보통 일주일 후에 결과가 나옵니다. 그래서 다시 진료 예약을 했습니다.
유방 조직 검사 결과

암의 가능성은 없다는 것을 알았지만 결과 보러 가는 것은 그래도 떨렸습니다.
- 왼쪽 : 섬유선종
- 오른쪽 : 관상피 증식증 + 경화성 선증
원장님께서 어떤 혹이며 이 혹들의 특징에 대해서 친절하게 설명을 해 주셨어요. 그리고 맘모툼으로 제거를 권유하셨습니다.
"맘모툼요???"
2025.07.02 - [건강] - 맘모툼 꼭 해야 하나? (섬유선종, 관상피 증식증, 경화성 선증)
'건강' 카테고리의 다른 글
| 맘모툼 후기, 맘모툼 비용, 수술 후 관리 (3) | 2025.08.26 |
|---|---|
| 맘모툼 꼭 해야 하나? (섬유선종, 관상피 증식증, 경화성 선증) (1) | 2025.07.07 |
| 간헐적 단식 1년 후기(원리 및 방법, 장점, 주의사항) (1) | 2025.07.04 |
| [건강책] 암중모색 암을 이긴 사람들의 비밀(생로병사의 비밀) (0) | 2025.07.04 |
| [건강책] 치매 예방과 치유, 물이 최고의 (2) | 2025.07.03 |